
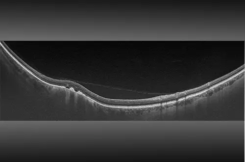
Swept-Source OCT
Swept-Source facilite l'examen de la rétine, du corps vitré à l'interface choroïdo-sclérale. La combinaison du SS-OCT et de l'UWF produit une image Optomap avec un angle de 200° en moins de ½ seconde et permet un balayage OCT guidé sur la rétine et dans la périphérie lointaine. L'image présentée est un scan linéaire de 23 mm.